치아 개수는 구강 건강을 이해하는 중요한 지표입니다. 성인, 유아, 어린이의 치아 개수를 살펴보며, 구강 건강을 지키는 방법을 알아보세요!
치아 개수와 구강 건강의 관계
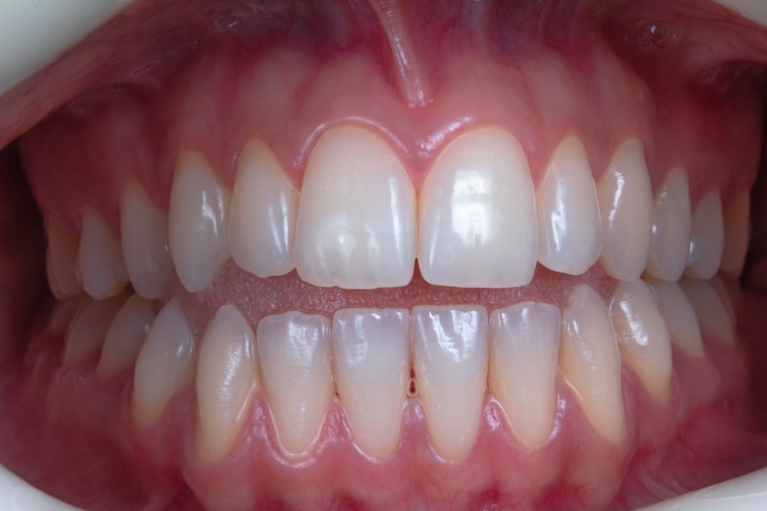
우리의 치아 개수는 구강 건강의 기본을 형성합니다. 일반적으로 성인의 경우 성인 치아 개수는 32개입니다. 이 개수는 모두 건강해야 하며 기능을 제대로 수행해야 우리의 식사, 말하기, 그리고 자신감을 지켜줄 수 있습니다. 치아 개수가 부족하거나 손상되면 여러 문제들이 발생할 수 있습니다. 따라서, 치아 개수를 정기적으로 확인하고 관리하는 것은 매우 중요합니다. 구강 건강은 종종 우리가 예기치 않게 간과하는 부분이며, 그 중요성을 많은 사람들이 알지 못합니다.

사람의 치아 개수는 단순한 숫자로 보일 수 있지만, 그 뒤에는 구강 건강을 위해 지켜야 할 많은 비결이 숨어 있습니다. 기본적으로 사람 치아 개수는 나이와 함께 변하는 경향이 있습니다. 어린 시절에는 유치가 자리를 차지하다가 성장과 함께 영구치로 대체되면서 성인의 치아 개수가 형성됩니다. 어른이 된 후에는 구강 건강 관리에 더욱 신경 써야 하는 이유입니다. 이를 잘 지키지 않으면 나중에 불필요한 시술과 비용이 발생할 수 있습니다.



물론, 치아 개수는 단지 숫자에 불과한 것이 아닙니다. 한 사람의 삶의 질, 자아상이 음식 섭취에 큰 영향을 미치기 때문입니다. 예를 들어, 어른 치아 개수가 적거나 잃은 치아가 많으면, 음식을 제대로 씹거나 소화하는 것이 어려워질 수 있습니다. 이 점 때문에 많은 사람들은 구강 건강을 소홀히 하지만, 정작 문제를 사전에 예방하는 것이 가장 좋은 방법이라는 사실을 잊지 말아야 합니다.
결국, 구강 건강은 단순한 물리적 상태에서 끝나지 않습니다. 우리의 감정과 심리까지 영향을 미치며, 건전한 치아 개수는 자신감을 높이는 데 중요한 역할을 합니다. 건강한 치아 개수를 유지하기 위해서는 정기적인 치과 검진과 철저한 양치질이 필요합니다. 이제 이어지는 내용에서는 나이별로 적정 치아 개수를 살펴보겠습니다.
어린이, 유아의 치아 개수
범위가 넓지만, 어린이 치아 개수는 일반적으로 20개입니다. 이 유치는 보통 6세에서 12세까지 자리를 차지하며, 이후 영구치로 대체됩니다. 어린이의 경우, 어린이 치아 개수는 구강 건강의 시작점이므로 소중하게 관리해야 합니다. 어릴 때부터 올바른 양치 습관을 들여주면 성인이 되었을 때 건강한 치아를 가질 가능성이 높습니다. 이런 초기 관리가 치아 개수를 늘리는 밑바탕이 자리를 잡을 수 있습니다.
반면, 유아 치아 개수는 더 적은 수치로, 일반적으로 10-12개입니다. 또한, 이들은 예민한 시기로, 음식이나 환경에 따라 영향을 받을 수 있습니다. 각종 음식이나 음료에 포함된 설탕이 너무 많이 섭취되면 유치가 쉽게 썩을 수 있습니다. 따라서 부모는 항상 자녀의 구강 건강에 신경을 써야 합니다. 주기적인 치과 방문과 함께 홈 케어 교육이 필수적입니다.
어린이와 유아는 대개 치아가 난 후 적절한 관리가 이루어져야 합니다. 이를 소홀히 하게 된다면, 구강 문제뿐만 아니라 아이가 자라면서 치아 개수가 부족해지는 안타까운 상황이 발생할 수 있습니다. 이를 예방하기 위해서는 체계적인 교육과 관리가 필요합니다. 다음으로는 성인의 치아 개수와 관리 방법에 대해 알아보겠습니다.
성인 치아 개수와 관리 방법
성인이 되면 성인 치아 개수는 평균 32개로 나타납니다. 상악과 하악 각각 16개가 나누어진 형태이며, 대개 4개의 사랑니가 포함됩니다. 하지만 모든 성인이 그렇듯, 어떤 사람들은 사랑니의 발달로 인해 다소 차이가 발생할 수 있습니다. 더군다나, 성년기에 접어든 시점에서 잃어버린 치아가 있다면, 남아있는 개수가 줄어드는 것이 자연스러운 현상입니다. 하지만 이는 피할 수 있는 문제이므로, 치아 개수 관리는 필요합니다.



특히, 중년기가 지나면서 치아 저하가 발생할 수 있습니다. 이 시기에는 치아 개수 관리가 더욱 중요해지는데, 개인의 평소 관리 능력에 따라서도 찬란한 미소와 건강한 치아의 차이가 나타납니다. 불규칙한 식습관이나 지나친 음주, 흡연은 치아에 결정적인 영향을 주게 됩니다. 그러므로 이러한 습관은 빨리 개선해야 합니다. 또한, 일상적으로 양치와 치실을 사용해 세심하게 관리하는 것이 필요합니다.
정기적인 치과 방문만으로도 큰 차이를 만들어 낼 수 있습니다. 검진을 통해 문제를 사전에 예방하고, 필요시 치료를 진행하여 건강한 치아 개수를 유지할 수 있도록 해야 합니다. 이는 단순히 육체의 건강만을 지키는 것이 아니라, 우리의 기분과 감정을 결정짓는 중요한 요소로 작용할 수 있습니다. 구강 건강을 지키는 노력을 게을리하지 않도록 합시다!
| 연령대 | 치아 개수 |
|---|---|
| 유아 | 10-12개 |
| 어린이 | 20개 |
| 성인 | 32개 |
추천 글
코스트코 자동차용품 추천 리스트 5선
코스트코 자동차용품은 다양한 차량 유지와 안전에 필수적인 아이템들로 구성되어 있습니다. 이번 포스팅에서는 꼭 필요한 5가지 제품을 소개하여 귀차니즘을 방지하고, 차를 더 안전하고 쾌적
g730.jhcin.kr
편의점 하이볼 추천 리스트 살펴보기
편의점 하이볼을 즐기는 이들을 위해 최고의 추천 리스트를 준비했습니다. GS25, CU 등 다양한 편의점에서 구입할 수 있는 하이볼을 살펴보며, 이 여름을 더욱 시원하게 즐길 방법을 알아보세요.
g730.jhcin.kr
지방세체납 해결하는 스마트한 방법
지방세체납 문제는 많은 이들에게 스트레스의 원인이지만, 올바른 방법으로 접근하면 해결할 수 있습니다. 이 글에서는 지방세체납 조회, 납부 방법 등에 대한 유용한 정보와 팁을 제공합니다.
g730.jhcin.kr
결론 및 FAQ
결국, 치아는 단순한 물리적 존재가 아니라 우리의 건강과 자아에 큰 영향을 미칩니다. 치아 개수는 구강 건강의 중요한 지표가 되며, 이를 통해 우리의 삶의 질을 높이는 방법이 될 수 있습니다. 그러므로, 어느 나이에 있든지 구강 관리에 소홀함이 없도록 하여야 할 것입니다. 이제 몇 가지 주요 질문을 통해 궁금증을 해소해 보겠습니다.
자주 묻는 질문
Q: 성인 치아 개수는 얼마인가요?
A: 성인의 치아 개수는 대체로 32개입니다. 이는 영구치로 대체된 후의 수치입니다.



Q: 어린이 치아 개수는 어떻게 되나요?
A: 어린이는 일반적으로 20개의 유치가 있습니다. 이 유치가 6세에서 12세 사이에 영구치로 대체됩니다.
Q: 치아 개수를 늘리려면 어떻게 해야 하나요?
A: 정기적인 치과 검진과 양치질, 치실 사용으로 치아 건강을 유지하고 잇몸 건강을 지키는 것이 중요합니다.